〒662-0016 兵庫県西宮市甲陽園若江町6-15
阪急電鉄「甲陽園駅」より徒歩1分
夙川、苦楽園、仁川、甲東園、門戸厄神、芦屋市から車15分。
宝塚市、伊丹市、三田市からも車30分。 

電話での問合せ・無料相談予約

0120-835-394

口ゴボの矯正で、
横顔は変わります

上下顎前突(じょうげがくぜんとつ)とも呼ばれる口ゴボは、上下の前歯が前方に飛び出して見える症状。

口ゴボを矯正すると、前方に飛び出した唇の位置が下がり、横顔のシルエット(Eライン)がすっきりと整います。当院のマウスピース矯正(インビザライン)で、こうした変化を実現可能です。

※上記はイメージ画像です

また歯がガタガタの叢生乱杭歯)や、八重歯を併発している患者さんも少なくありませんが、こうした症状も口ゴボの矯正で治せます。

口ゴボの矯正
治療法を間違えると治りません

口ゴボの矯正治療にはいくつかの方法がありますが、治療法によって前歯を引っ込められる量が異なることをご存知でしょうか。

前歯だけの矯正で引っ込められるのは、実は3mm限界です。

あなたの口ゴボは、3mmで治りますか?

口ゴボの弊害

口ゴボを治療せずに放置していると、以下のようにさまざまな問題がおきてしまいます。
 

見た目の印象が悪い

口ゴボの患者さまは、口元がもっこりして、分厚く大きく見えてしまいます。

そのため顔立ちに対する周囲の印象が悪くて、心ない言葉を投げかけられて落ち込んだ方も少なくないと思います。

また口が半開きになりやすいため、「だらしない」とか「緊張感がない」という印象を持たれることもあります。

 

下あごの梅干しシワ

無理に口を閉じようとすると、下あごのオトガイ筋に力が入り、あごにボコボコと「梅干しシワ」ができてしまいます。

同時に口角が下がるため、本人は無表情のつもりでも、不機嫌な印象を与えがち。

周囲からは「怒っているのかな」「不満があってふてくされている」「性格がキツそう」と誤解され、人が寄り付きにくくなる原因にもなってしまいます。

 

ドライマウスで口臭の原因

前歯が突出していると唇が閉じにくいため、お口の中が乾燥して細菌が繁殖しやすくなるため、口臭が発生しやすくなります。

こちらが原因で、周囲の人から距離を置かれることもありえます。

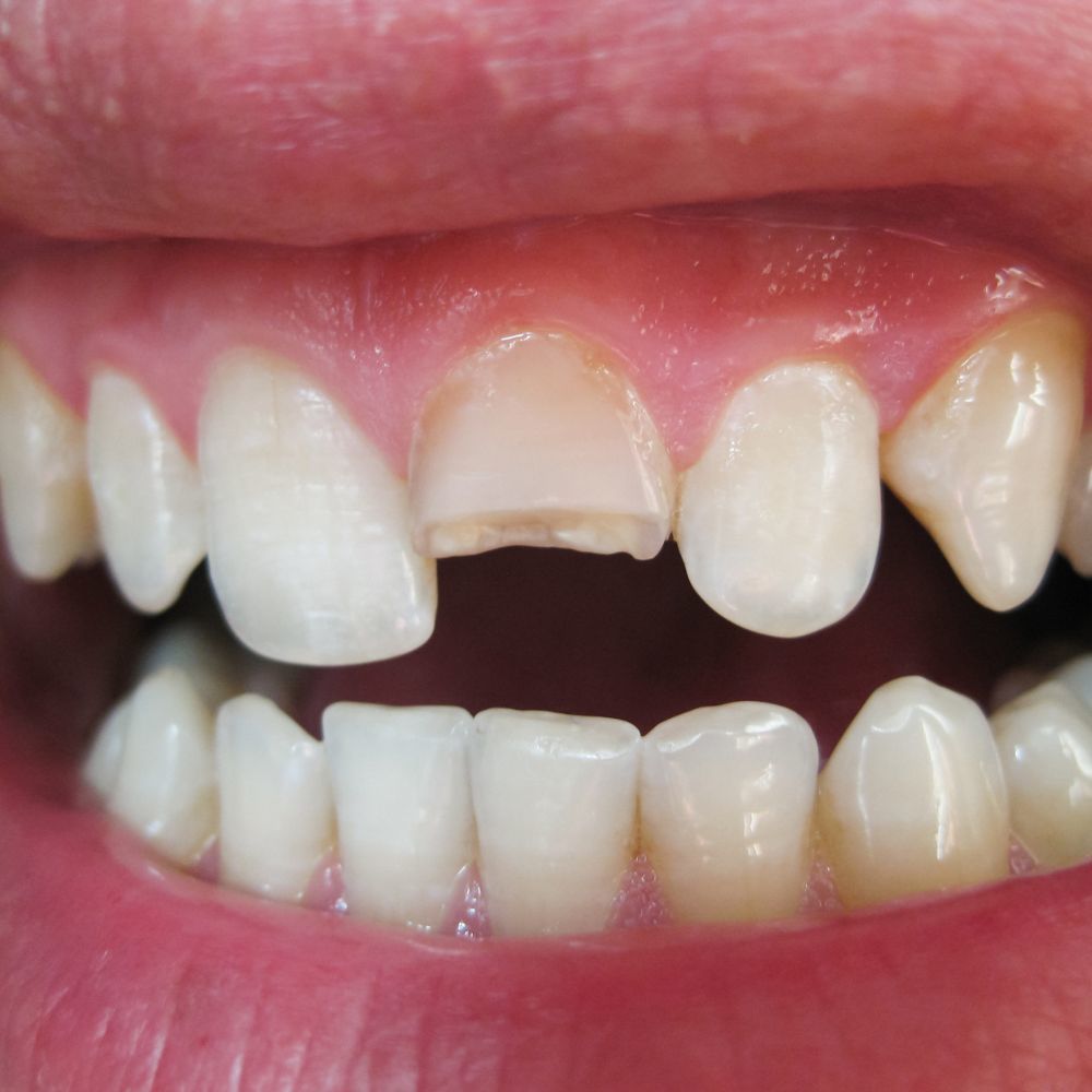
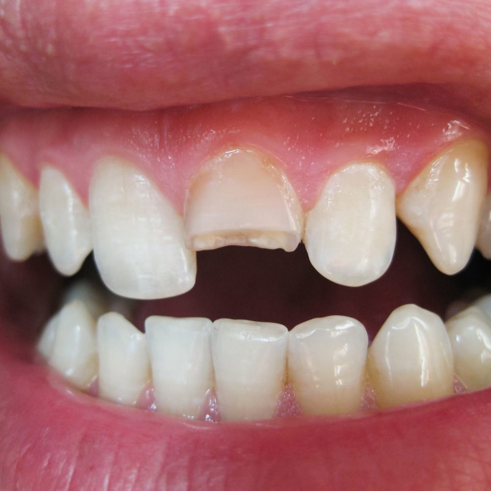
転んだ際に前歯が折れやすい

歯が出ているため、転んだり、何かにぶつかったりした際に、突出している前歯を強打しやすく、欠けたり折れたりするリスクが高くなります。

噛み合わせがおかしくなる

口ゴボの原因が奥歯にある場合、特定の奥歯に過度な力が加わる結果、奥歯の位置高さが変わってしまい噛み合わせが悪くなってしまいます。

 

顎関節症になるリスクが高い

また奥歯への過度な負担は、あご関節に不自然な力を加え、バランスを損ねてしまいます。

やがて奥歯の噛み合わせが悪化して、ますますあごの関節への負担が増えていき、やがて顎関節症を発症してしまうのです。

口ゴボの原因と失敗例
(1)小顔であごが小さい

小顔であごが小さいので口ゴボ

小顔あごが小さい方は、歯がきれいに並ぶスペースが足りません。

狭いスペースに歯を詰め込むため、前歯が前方に押し出されて口ゴボになってしまうのです。

口ゴボの矯正は決して簡単な治療ではありません。以下のような失敗治療になってしまうことがあるので注意が必要です。

小顔だから口ゴボ治らない
——3mmの限界

矯正したのに口ゴボが治らない。これは小顔の方に多い失敗です。

小顔の方は顎が小さいので、歯を動かすためのスペースがもともと限られています。口ゴボの矯正は、前に出た前歯を引っ込める治療ですが、引っ込めるには引っ込めたい分だけのスペースが必要です。

では、口ゴボを改善するにはどれくらい引っ込めればいいのか。横顔の変化を実感できるのは、最低でも前歯が4〜5mm引っ込んだとき。重度の口ゴボなら、7〜8mmは必要です。

しかし、前歯だけの矯正でスペースを作る方法は、歯と歯の間をわずかに削る方法(IPRといいます)しかありません。

安全に削れる量は1本あたり約0.5mm。前歯だけの矯正で対象となる歯は6本(左右3本ずつ)ですから、0.5mm×6本=合計3mmが限界です。

最低でも4〜5mm、重度なら7〜8mm必要なのに、3mmしか引っ込められない。結果、治療を終えても口ゴボ残ったまま。「矯正したのに変わらなかった」という失敗が起きます。

しかもこの失敗は、治療期間が足りなかったのではなく、そもそもその治療法では治せなかったという問題です。やり直すには別の治療法で一からスタートすることになり、追加の費用と時間がかかります。

スペースを作ろうと歯列を拡大
口ゴボ悪化した

先ほどご説明した通り、小顔で顎が小さい方はスペースが足りません。そこでスペースを確保するために、前歯しか動かせない格安矯正でよく用いられるのが、拡大床という治療法です。

拡大床

ネジの力を利用して歯を外側へ押し広げることで、前歯を並べるスペースを確保します。

ただ拡大床は、歯列を広げすぎないよう細心の注意を払う必要がある、とても難しい治療法

経験不足の歯科医師では、過度に歯を押し広げてしまい、口ゴボかえって酷くなることがあります。

またこの拡大床は奥歯を左右に広げようとしますから、経験不足の歯科医師では、奥歯の位置がおかしくなってしまうことも。

そのため噛み合わせが悪くなって、食事に支障をきたす、という失敗症例もよく耳にします。

抜歯したけど
奥歯を動かせずすきっ歯

歯並びの乱れが重度の場合、今まで述べた方法では充分なスペースが確保できないため、抜歯が必要になることがあります。

具体的には前から4番目の歯を抜いて、前歯を並べるスペースを生み出します。

広いスペースを確保できるため、歯をキレイに並べられることができ、より美しい口元をご希望の方には抜歯矯正がおすすめです。

しかし抜歯後のすき間を埋めるためには、前歯だけでなく、奥歯も動かさなければいけません。

ところがこの奥歯を動かすのが一苦労。極めて高いスキルと経験が求められます。

そのため歯科医師の経験が浅いと奥歯をうまく動かせずに、歯と歯のあいだが空いたすきっ歯になることもあるのです。

歯を削りすぎて、すきっ歯

スペース確保の方法として前歯しか動かせない格安矯正でよく用いられるのが、先ほどもご説明したIPR(歯と歯のあいだを削る)という治療法。

IPRで削る量は、約0.1〜0.5mmと少量ですので、通常は健康への心配はありません。

でも大きなスペースを必要とする中度重度の治療では、経験不足の歯科医師が無理して削りすぎてしまう場合があります。

そして歯を必要以上に削りすぎると、知覚過敏になったり、すきっ歯になったりしてしまうのです。

ひどい場合には、歯が細くなりすぎて見た目の印象がピアノの鍵盤みたい、という失敗治療に終わることもあるのでご注意ください。

奥歯を奥に動かしたスペースで
口ゴボを引っ込めます

上記のような失敗を起こさないために当院では、奥歯奥側移動してスペースを確保できるマウスピース矯正「インビザライン」をおすすめしています。

格安矯正では奥歯を動かせないため、口ゴボをきれいに矯正することはできません。

またワイヤー矯正も奥歯を奥側に動かすのは苦手です。

その点インビザラインでは、親知らずを抜いたスペースに一番奥の歯を動かします。

それにより空いたスペースに次の奥歯を動かし、さらに次の奥歯を動かします。

こうして順繰りに奥へと歯を移動させることで、4〜5mm以上のスペースを確保して、前歯をきれいに並べられるのがインビザラインの優れたポイント。

この方法なら親知らずを抜いた広いスペースを利用できますから、あごが小さくて口ゴボでお悩みの患者さまでも治療可能です。

口ゴボが改善されると、もともとの小顔が活きた、すっきりとした小顔美人になります。

経験18年、実績580症例
重度の口ゴボもお任せください

当院で口ゴボの矯正治療を担当するのは、院長である私です。

私が手がけた矯正治療の実績は累計で580症例にのぼり、18年に渡る矯正経験の中で、マウスピース矯正とワイヤー矯正の両方を手がけてきました。

2023年にはインビザライン社から上位ランクの「プラチナエリート」に認定されております。

おかげさまで、口ゴボの患者さまが多数来院されるようになり、奥歯動かす矯正の経験も豊富に積むことができました。

重度難症例の治療でも成功症例を積み重ねておりますので、安心してお任せいただければと思います。

  • 私の口ゴボは、どう変わるの?
  • 私の口ゴボは、どうやって治すの?
  • 治療費や治療期間は?

相談会ではシミュレーション画像で
未来の歯並びを確認できます

無料の矯正相談を実施中。矯正経験18年・累計580症例の実績を持つ、上位ランク「プラチナエリート」認定の院長に、ぜひお気軽にご相談ください。

口ゴボの原因と失敗例
(2)奥歯に前歯が押し出される

斜めの奥歯
前歯が押し出されて口ゴボ

奥歯斜めに生えていると、食べ物を噛む度に奥歯に斜めの力が働き、徐々に傾きがひどくなっていきます。

この状態を放置すると、次々と隣の歯を斜めに押し出していき、最後には前歯押し出されて、口ゴボや出っ歯、あるいはガタガタの歯並びになってしまうのです。

「昔に比べて最近前歯出てきた」という方はこのケースかもしれません。

ただし、この奥歯原因の口ゴボは治療が難しいため、以下のような様々な失敗が起こりえます。

スペース不足で
口ゴボが治らない

奥歯が斜めに傾いて前歯を押し出していると、前歯を引っ込めるスペースがありません。

本来は斜めに傾いた奥歯をまっすぐにして、前歯を引っ込めるスペースを作るべき。

でも前歯しか動かせない格安矯正では、奥歯を動かしてスペースを確保するのではなく、前歯だけを動かして治療を行います。

そのためスペースが足りないまま治療期間が終了。

結局、前に突き出た口元引っ込めることができなかった、という失敗に終わってしまうことが少なくないようです。

必要以上に歯を削ってしまう

そこでスペース確保する方法としてよく用いられるのが「IPR」。

歯と歯の間を削って前歯を並べるスペースを確保する治療法で、前歯しか動かさない格安矯正ではよく行われます。

でも実は、斜めの奥歯をまっすぐにしてスペースを確保すれば、歯を削る量は最小限で済みます。

あるいは奥歯を動かしてスペースを確保すれば、歯を削る量を減らすことができます。

つまり前歯しか動かさない矯正治療だと、必要な量以上に歯を削ってしまうことがあるのです。

必要ないのに歯を抜いてしまう

そして中には、抜かなくてもいい歯を抜いてスペースを確保するという、ケースもありえます。

歯並びの乱れが大きい場合、前から4番目の歯を抜いて、前歯を並べるスペースを生み出します。

でも別の方法でスペースが確保できれば、抜かず治療できるかもしれません。

つまり斜めになった奥歯まっすぐにして、さらに奥歯を奥側に移動して、前歯を並べるスペースを確保するのです。

この方法で充分にスペースが確保できれば、歯を抜かずに済むかもしれません。

もちろんお口の状況によっては抜歯が必要になりますが、奥歯を動かすことで抜歯しなくても済むケースも多いですから、ぜひ経験豊富な歯科医に相談してみましょう。

治療したのに口ゴボ戻ってしまう

奥歯の傾きを矯正しないまま、前歯だけ無理矢理整えたとしても、奥歯からの圧力は変わりません。

そのため治療後も前歯が奥歯から押され続けます。

やがて前歯が斜めの奥歯に押し出されて、口ゴボが再発してしまう、というケースも決して少なくないのです。

根本原因の奥歯の傾きを矯正して
口ゴボを治療します

こうした症状の場合、当院では、まず最初に奥歯傾きをまっすぐに矯正します。

奥歯の治療が得意な「インビザライン」を利用して、奥歯が斜めに傾いている、という根本原因をまずは取り除くのです。

これにより前歯を引っ込めるスペースを確保し、かつ治療後の口ゴボの再発を防止します。

奥歯の移動でスペース確保して
口ゴボを治療します

またインビザラインは、奥歯の傾きをまっすぐにするだけでなく、奥歯を奥側に移動することもできます。

先ほどお話ししたように、格安矯正では奥歯を動かせないため、口ゴボをきれいに矯正することはできません。

その点インビザラインでは、親知らずを抜いたスペースに奥歯を移動させることで、前歯をきれいに並べるスペースを確保できます。

この方法なら親知らずを抜いた広いスペースを利用できますから、口ゴボでお悩みの患者さまでも治療が可能なのです。

経験18年、実績580症例
お気軽にご相談ください

当院で口ゴボの矯正治療を担当するのは、院長である私です。

先ほどもお話ししたように、矯正経験18年、累計580件の成功症例を積み重ね、患者さまに輝く笑顔をお届けしてきました。

もし口ゴボでお悩みなら、どうぞお気軽にご相談ください。

 
  • 私の口ゴボは、どう変わるの?
  • 私の口ゴボは、どうやって治すの?
  • 治療費や治療期間は?

相談会ではシミュレーション画像で
未来の歯並びを確認できます

無料の矯正相談を実施中。矯正経験18年・累計580症例の実績を持つ、上位ランク「プラチナエリート」認定の院長に、ぜひお気軽にご相談ください。

その他の
失敗例

矯正治療中に
虫歯になってしまう

マウスピース矯正の治療中は、虫歯になりやすいことをご存知でしょうか?

普段私たちの口の中は、唾液によって常に洗浄されています。ところがマウスピースを装着すると、唾液が歯の表面に行き届かない状態に。

歯に付着した汚れが洗い流されず、知らないうちに虫歯になっていた、ということも少なくありません。

このような失敗談は、矯正専門医院で治療を受けた方からよく聞きます。矯正だけ注力して、虫歯の予防にまで配慮していないことがあるからです。

予防歯科にも力を入れる
「総合歯科医院」

一方、当院のような矯正だけでなく一般歯科治療も提供する「総合歯科医院」であれば、虫歯や歯周病の予防にも力を入れています。

矯正中に歯のクリーニングをご提供するなど、患者さまの大切な歯を虫歯や歯周病からお守りします。

 
このような失敗治療にならないよう
当院では「インビザライン」による治療に
力を入れています

口ゴボにおすすめの
矯正治療

口ゴボの治療として当院が最適だと考えているのが、マウスピース矯正「インビザライン」。

透明で目立たない、痛みが少ない、いつでも装置を外せる、お食事や歯磨きをいつも通りに行えるなど、他の治療法にはないメリットが豊富です。

当院のインビザライン治療については以下のページで詳しくご紹介しております。ぜひご覧ください。

インビザラインの最大の魅力は、「奥歯奥側に動かせる」こと。前歯しか動かさない格安矯正では、そもそも口ゴボを治せなかったり、余計に悪化してしまうリスクが高いのですが、インビザラインならその心配はありません。

インビザラインでは、親知らずを抜いたスペースに一番奥の歯を動かします。

それにより空いたスペースに次の奥歯を動かし、さらに次の奥歯を動かします。

こうして順繰りに奥へと歯を移動させることで、前歯引っ込めるスペースを確保できるというのがインビザラインの優れたポイント。

この方法なら親知らずを抜いた広いスペースを利用できますから、小顔であごが小さい患者さんでも、前歯引っ込める矯正が可能なのです。

なお奥歯を奥側へ動かすこの治療法は「インビザライン」でしか行えません。格安矯正はもちろん、ワイヤー矯正でもできないのでご注意ください。

 

  • 一部の費用しか記載されていないため、総額いくらか分からない
  • 軽度の費用しか記載されておらず、重度の費用が分からない

こうした疑問をお持ちの方も多いのではないでしょうか。

そこで当院では、矯正治療にかかるすべての費用を、軽度重度別に分かりやすく記載しております。

当院では、月々わずか支払いだけですむ、デンタルローンによる分割払いをご用意しました。

分割払いなら多額費用を最初に用意することなく、すぐに治療を開始することが可能です。

口ゴボを治せない「前歯のみ」を動かす格安矯正は、当院では取り扱っておりません。

格安矯正 ごく
軽度
前歯
のみ
当院での
取り扱いなし

 

当院では患者さまの症状に合わせて「前歯と奥歯の両方」を動かせるマウスピース矯正「インビザライン」で治療を行っています。

インビザライン
ライト
軽度 前歯と
奥歯 
44万円
(上下)
月々
4,800円
インビザライン
フル
コンプリヘンシブ
重度 前歯と
奥歯 
79万2千円
(上下)
月々
8,700円

(税込)

なお、口ゴボの患者さまの場合、フル(コンプリヘンシブ)での治療になるケースが大半です。

当院はトータルフィー(総額表示)制度を採用しているため、他院では別料金となることが多い様々な費用が無料です。

医療費控除が使えます

マウスピース矯正は医療費控除を利用できます。

年収360万円の方が44万円の治療を受けた場合、10万2千円が還付されることになります。つまり、実質の治療費は約33万8千円です(概算)。

  • 私の口ゴボは、どう変わるの?
  • 私の口ゴボは、どうやって治すの?
  • 治療費や治療期間は?

相談会ではシミュレーション画像で
未来の歯並びを確認できます

無料の矯正相談を実施中。矯正経験18年・累計580症例の実績を持つ、上位ランク「プラチナエリート」認定の院長に、ぜひお気軽にご相談ください。

続いて当院の特徴についてご紹介いたします

当院の矯正治療の
特徴

「もう年齢的に遅いのでは」「ブリッジやインプラントがあるから無理かも」──40代・50代の方からよくいただく不安です。

実際、この年代の矯正治療は難度が上がるため、他院で断られるケースも少なくありません。

その点当院では、矯正経験18年・累計580症例の実績を持つ、上位ランク「プラチナエリート」認定の院長が、数多くの40代・50代の矯正治療を成功に導いてきました。

矯正治療に「遅い」はありません。まずは、無料相談にお越しいただければと思います。
 

当院の院長は、インビザライン社から認定を受けた「プラチナエリート・プロバイダー」。数多くの矯正治療を手がけてきました。

当院ではこの経験豊富院長が、患者さまの治療をすべて担当します。ホームページとは違う歯科医が出てきたり、担当医が毎回変わったりということはありません。

治療の最初から最後まで院長責任もって担当させていただきますので、どうぞご安心ください。

当院ではなるべく歯を抜かずに、それでも少しでもきれい歯並びをめざした治療を行います。

患者さまの多くは抜歯したくないとお考えです。患者さまのご希望を尊重しながら、非抜歯矯正や最小限の抜歯で行う矯正治療に力を入れています。

他院で断られた中度重度
お任せください

格安矯正の場合、動かせる範囲が前歯に限定されるため、軽度のケースにしか対応できません。

一方、当院では奥歯まで動かせるインビザラインを採用しています。

豊富な経験を持つ院長が中度重度の症状にもしっかり対応しますので、他院で「治療できない」と断られた患者さまもお気軽にご相談ください。

矯正後の歯並びはどうなるんだろう…。本当に理想の口元が手に入るの?そんな不安を抱える方もいらっしゃるかと思います。

当院では、「iTero(アイテロ)」という機器を使用した歯並びのシミュレーションを無料でご提供しています。これにより、治療中の歯の動きや矯正後の歯並びをイメージすることが可能です。

ご興味がありましたら、ぜひお問合せください。

私たちの役割は、患者さまの歯並びを整え、患者さまに笑顔を取り戻していただくこと。

そのために最も大切なのが、患者さまのお話をしっかりと伺うことなのです。

無料の矯正相談や治療時に、どんな些細な事でも構いません。お悩みやご希望、ご質問、等、色々とお話しください。

お話しを伺うことを楽しみにしております。

マウスピース矯正治療の
流れ

最後に、マウスピース矯正治療がどのような流れで進むのかをご紹介いたします。具体的なイメージをつかむことで、矯正治療をより身近に感じていただけたらと思います。

無料相談
(カウンセリング)

精密検査

ご契約

治療計画
(クリンチェック)

治療開始

治療の経過観察

治療終了

保定期間に移行

  • 私の口ゴボは、どう変わるの?
  • 私の口ゴボは、どうやって治すの?
  • 治療費や治療期間は?

相談会ではシミュレーション画像で
未来の歯並びを確認できます

無料の矯正相談を実施中。矯正経験18年・累計580症例の実績を持つ、上位ランク「プラチナエリート」認定の院長に、ぜひお気軽にご相談ください。

当院の矯正治療

当院で治療したマウスピース矯正「インビザライン」の症例を写真で紹介します。

  • 私の歯並びはキレイになるの?
  • 治療費や治療期間は?
  • 本当にお顔も美しくなるの?

歯並びの無料相談を実施中。治療後の歯並びをイメージできるシミュレーションも可能です。

診療時間
9:00~12:00
14:00~18:00

─:休診日  ▲:9:00~13:00

兵庫県西宮市甲陽園若江町6-15

阪急電鉄甲陽園駅より徒歩1分。
夙川、苦楽園、仁川、甲東園、門戸厄神、芦屋市から車15分。
宝塚市、伊丹市、三田市から車30分

治療名:マウスピース矯正「インビザライン」
治療の説明:透明なマウスピース型の装置で行う矯正治療です。
金額:44万円~79万2千円
治療の期間・回数6か月~2年半、7〜50回
治療のリスクや副作用歯磨き等のセルフケアを怠ると虫歯や歯周病のリスクが高くなります。装着時間を守らないと計画通りに歯が動かない、治療期間が延びる場合があります。矯正治療が完了した後は後戻りを防ぐために保定装置を装着します。保定装置を正しく使用しないと再度矯正治療が必要になる可能性があります。歯と顎のバランスによってはご自身の歯を削る場合があります(削る量は個人差があります)。まれに歯の根が短くなる可能性があります。装置装着後、痛みを感じることがあります(歯が動く正常な反応なので心配ありません)。頬の粘膜・唇・舌などに、口内炎ができることがあります。歯周病等で歯ぐきが下がっている方は、歯を動かすことでさらに歯ぐきが下がる可能性があります。重なっていた歯がきれいに並んだことで歯ぐきと両隣の歯との間に三角形の隙間ができる可能性があります。

注意事項:
【医薬品医療機器等法(薬機法)において現在未承認の医療機器を用いた治療について】
当院では、マウスピース型カスタムメイド矯正装置(製品名:インビザライン)による矯正治療をご提供しております。矯正治療を受ける際には、以下の点をご了承ください。

●未承認医療機器の使用
マウスピース型カスタムメイド矯正装置の材料は厚生労働省の認可を得たものですが、当院で使用しているインビザラインは完成物薬機法対象外の矯正装置です。医薬品医療機器等法(薬機法)の承認を得ておりませんので、医薬品副作用被害救済制度の対象外となる場合があります。

●入手経路
マウスピース型矯正システム「インビザライン」は米国のアライン・テクノロジー社の製品です。当院はアライン・テクノロジー・ジャパン株式会社を通じて利用・入手しております。

●国内の類似する承認医療機器の有無
当院が使用するマウスピース型カスタムメイド矯正装置以外に、複数のシステムが開発されています。また、その中には日本で承認を得ている矯正装置も存在します。

●諸外国における安全性等に係る情報
インビザラインは、全世界で2000万人以上(※)の症例数を持っています。1998年に米国食品医薬品局(FDA)の承認を得ており、現在まででインビザライン固有の重篤な副作用の報告はありません。

※2025年現在

診療時間

 
午前
午後

午前:9:00~12:00
午後:14:00~18:00
▲:9:00~13:00
休診日:水曜・日曜・祝日
※祝日がある週の水曜は診療しております。

〒662-0016
兵庫県西宮市甲陽園若江町6-15

阪急電鉄「甲陽園駅」より徒歩1分

夙川、苦楽園、仁川、甲東園、門戸厄神、芦屋市から車15分。
宝塚市、伊丹市、三田市からも車30分。